Do You Need Your Wisdom Teeth Removed?
Given all the other nonsense floating around social media, I’m not surprised to see this item circulating how dentists allegedly rip off the public: wisdom teeth extractions. So let’s talk about the following questions, then cover the answers. Unlike most of my articles, this is going to be a lot of LISTS! I’ve also included a sampling of x-rays taken in my office within just the last few weeks as examples of many of these situations. At the end of the article, I’ll also provide a short debunking of the nonsense in this article that occasionally floats around FB and Twitter: Wisdom Teeth Dental Scam & Why You Need Your Wisdom Teeth (hint: you really don’t).
Why Should Wisdom Teeth be Removed?
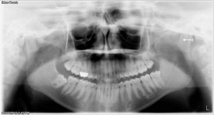
Even before getting to the reasons why wisdom teeth need to be removed sometimes, let’s talk about how dentists and oral surgeons generally diagnose and describe wisdom teeth, aka 3rd molars. The most common x-ray used to see wisdom teeth and figure out if they need to be extracted or not is called a panoramic x-ray. It looks like this:

- The most obvious reason that wisdom teeth should be removed is if they have a big cavity and would be difficult to fix because of how far back in the mouth they are. If you can’t keep them clean, you’ll just get cavities again. Save yourself the hassle now and get rid of them.
- If they can only erupt partially and are still partially covered by gum tissue, that’s a great place for bacteria to grow since it’s very difficult to clean them. If the bacteria grow out of control, the infection is called pericoronitis (infection of the gum around the crown of a tooth). This infection can be extremely painful. It can be easily treated with antibiotics, but if the tooth stays there, it can certainly happen again. Do you really want to leave it there and take a chance on going through THAT fun experience again? Exactly – I didn’t think so.
- If they are impacted and resting directly against the back of the molar just in front of them, such that neither the gum nor bone can attach in that area. Again, those areas are bacteria and food traps, and sometimes cavities will form way down on the roots of the 2nd molars, and they can be VERY difficult to fix like that.

When Is it Better to Leave Wisdom Teeth in Place?
There are also scenarios in which you really don’t need them removed:

- If they are fully erupted and you’re able to clean them normally to avoid cavities or gum disease.
- If they are completely impacted and therefore can’t get get cavities or gum disease
- If the tooth is so close to the big nerve in your lower jaw, called the Inferior Alveolar Nerve, or IAN, that there’s a big risk fo damaging that important nerve.
- If the mandible (lower jaw bone) is at risk of breaking

Should You Get All of Your Wisdom Teeth Removed at One Time?
This is THE most common question that we hear, and it’s a very understandable one because of the nervousness that usually goes along with getting your 3rd molars removed. So here are my thoughts on the matter, and bear in mind – these are my opinions only:
- If all of them are causing you pain, then it seems clear that getting them all done at once is going to give you the greatest relief the fastest.
- If less than all of them bother you, what you do about the non-bothersome ones is really up to you.
- If you’re already going in for 1 or 2, why not just get them all done? IOW, why wait until the others bother you later on and you have to go through it again?
- If you’re choosing sedation, why not get them all done? You’re going to be knocked out once, why wait and go through it again?
As you can see, I take a fairly practical approach – if you’re already getting 1 or more done, and IF the others will have to be done at some point anyway, why put yourself through more than 1 appointment of numbing and discomfort? As the saying goes, “Just git ‘er dun.”
Obviously, if 1 or more of your wisdom teeth are impacted such that the risks are higher than the benefits, then only get the ones taken out that really need it.
Do You Need to be Sedated?
Many people do choose oral surgeons for removal of 3rd molars because they want to be “knocked out,” or sedated, and not many general dentists are licensed to do true sedation. The more difficult the extractions will be, the more likely you’ll want to be sedated. When teeth are impacted, that usually means they’ll be more difficult. There are 4 types of impacted teeth, and then these can be combined:
- Soft-tissue: the crown, or top, of the tooth, has risen out of the bone but is still covered by gum tissue
- Hard-tissue: the entire tooth is still covered by bone
- Horizontal: the tooth is lying on its side
- Vertical: the tooth is upright
In general terms, soft-tissue and vertical impactions are easier to remove while hard-tissue and horizontal impactions are more difficult, so those are the ones you’ll more likely want to be sedated. However, you should talk with your dentist or surgeon specifically to decide if you really “need” to be sedated, because many wisdom teeth can be removed so quickly and easily by a skilled surgeon that sedation would actually make your recovery take longer than necessary.
What are the Risks and How Common are They?
As with any surgery, there are always risks, and you should absolutely take the time to discuss the risks and benefits of removing your wisdom teeth. Sometimes the risks are too great, and ultimately you have to make the final decision to proceed. But the most frequent complications that occur after extraction of wisdom teeth are:
- Dry socket
- Excessive bleeding
- Swelling of the face
- Paresthesia or Dysethesia: Temporary or permanent change in nerve sensation to your jaw, lips, and tongue
Of all these complications, the 2 most common ones are Dry Socket and swelling of the face. The swelling can usually be taken care of with proper use of ice packs for the first 3 days, then with heat packs if needed after that.
And yes, as we often see in the news, it is possible to die during the surgery, such as in a recent tragic case in Minnesota that has been all over the news and social media. Fortunately, these are INCREDIBLY rare, and there is almost always an underlying medical condition. It is a point of fact that WAY more people die of dental infections every year than die from wisdom teeth surgery – not even close.
Do Dentists and Surgeons Recommend Extractions for Money?
Let’s get the obvious answer out of the way: we usually don’t do it for free, so that means we do make money when we take out your wisdom teeth. But do we recommend taking out wisdom teeth JUST to make money? In the HUGE majority of cases, the answer to that is a resounding NO. Of course, as with any profession that involves people, there are bad apples, and they give the rest of us a bad name. That sucks. But they’re few and far between.
To be completely honest, I HATE taking out wisdom teeth. Yes, I’ve removed about 3,000 teeth (not just wizzies) in my 17 year career to date (as of June 2015), and given the choice, I’d never take out another wisdom tooth again unless it’s super easy. Seriously. They’re way back in the mouth, often hard to reach, etc., and at this point, I almost automatically refer them out to my oral surgeon (see below for a list of the surgeons and periodontists with whom I have worked in Charlotte and can personally recommend. Don’t worry, though – there are a LOT of great surgeons in the Charlotte area, but it’s easiest to work with just a couple of them.) So in simplest terms, I make almost zero money from taking out wisdom teeth. Many general dentists feel the same way.
Do I get a “kickback” from the oral surgeons to whom I refer in the Charlotte area? Well, if you count the really big box of delicious cupcakes that they send us around Christmas or New Year’s as a “kickback,” I guess I do. Sometimes it’s cookies or cake, and almost always from a local Charlotte bakery, and our whole team really enjoys them. Heck, sometimes they’re all gone by the time I even know they arrived! But that’s it.
Can General Dentists Extract Wisdom Teeth as Well as an Oral Surgeon?
Simple answer: it depends. 🙂
I know some general dentists who are better than many oral surgeons, but that’s pretty rare. Oral surgeons get a TON of additional training and education, and they are both prepared and equipped to deal with all possible complications. That’s why most general dentists prefer to let the surgeons do it. I can extract easy ones it as well as the surgeons whom I recommend, but beyond that, it’s a different story.
Do You Need Your Wisdom Teeth?
Remember the article I mentioned at the beginning about a “wisdom tooth scam?” C’mon…that article, while based on real facts, makes some ridiculous errors of logic:
- Just because you don’t “need” your wisdom teeth taken out, doesn’t mean that you “need” to keep them, either.
- Just because doctors make money when they perform the procedure, does not mean that’s the only reason they doing it.
- Just because you don’t like the reasons that the American Association of Oral & Maxillofacial Surgeons provides for taking out wisdom, doesn’t mean they’re not valid.
Here’s a quote that really bugs the heck out of me:
Wisdom teeth have their function in the body, or they wouldn’t be there. They are important for the chewing process and add to the biting surfaces. Dr. Jay Friedman
NO. Just NO. Wisdom teeth do NOT have some inherently important function in the body that means they need to stay there. That is just plain stupid. They’re just teeth and are NOT that important for the chewing process, because they are so far back in the mouth. If you try to chew with them, you’ll gag yourself at the same time. Very few people these days actually have enough room in their jaws for all of the wisdom teeth to fit, much less be used. This is what they usually look like. Do you seriously think that tooth is serving “some important function in the body?” DUH – NO!
Oh yeah, and about that “they wouldn’t be there if they didn’t have their function,” has this guy forgotten about the APPENDIX?
Simple answer? No, you do not “need” your wisdom teeth.
On the flip side, as long as they’re not causing problems for you, you don’t “need” to have them taken out, either. Many people live with them their whole lives just fine. The vast majority who get them removed have no significant complications and rarely miss more than a day of work, school, etc. At the same time, that doesn’t mean there are no serious complications, and for the people who get those, the recovery can be difficult.
So What Should You Do?
Think you need your wisdom teeth removed? Here’s what you need to know:
- Make sure your dentist or oral surgeon has a high-quality x-ray that clearly shows where your wisdom teeth and other important anatomical structures are.
- Ask the dentist or surgeon to clearly explain the risks and benefits of having YOUR wisdom teeth out; not some “general” wizzies.
- Make sure to let the dentist or surgeon know ALL of the medications, herbs, and supplements that you are taking and that you completely inform them of any and all health conditions that you have. Do not ever lie on a medical form, and don’t assume that the doctor “doesn’t need to know about that.”
- If you choose to proceed, follow ALL of the instructions given to you. If you’re not sure, CALL THE EMERGENCY NUMBER for the doctor.
And lastly, don’t forget that a Toothache Can Kill You , so if you do have a serious infection associated with a wisdom tooth, DO NOT IGNORE IT!
If you need your wisdom teeth evaluated:
Call us 704-364-7069 or contact us.

As I mentioned, we almost never do wisdom teeth extractions in our office. Here is a short list of surgeons and periodontists in Charlotte whom I trust and respect:
- Dr. Kevin Bond (oral surgeon)
- Dr. Amir Marashi (oral surgeon)
- Southeast Oral & Maxillofacial Surgery


















